Bangkok Dental Veneers, Bangkok Dentist - Welcome to
Smile Studio Dental Clinic & Dental Lab, situated in Silom, which
is highly experienced dentist and dental clinic Bangkok.
If you want a perfect smile and who doesn't--opt for dental veneers. If any of your teeth are chipped, broken or misaligned, we can breathe new life into them in just three sittings...read more
Laser whitening is the latest and best way of returning your teeth's whiteness by resorting to a simple dental procedure that's painless and lasts under an hour....read more
If you've been wearing braces until now, take them off because we have a better solution that can straighten your teeth more accurately and invisibly....read more
With the amazing prowess of 3D imagery along with CAD-CAM systems, crowns or bridges are now more precise, stronger and more natural looking....read more
The First Emax Veneer Center in Bangkok THINNER, STRONGER, LONGER LASTING
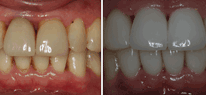
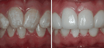
Dental veneer, also known as porcelain veneer, is an innovation to help your teeth with several issues; for example, discolored, worn down, chipped or broken, misaligned or irregularly shaped teeth and teeth with cap. A dental veneer will provide you with a natural tooth appearance that will not affect or irritate your gum issue. Porcelain veneer is stain resistant, and can make dark teeth appear whiter. It offers a conservative approach to changing a tooth's color and shape. Extensive shaping prior to the procedure that crown needs is not required for veneer. Moreover, it is actually stronger and more esthetic than crown or bonding.
What teeth can veneers generally fix?
Teeth that are discolored; possibly as a result of a root canal treatment, stained by tetracycline or other drugs, excessive fluoride usage, or the presence of large resin fillings that discolor the teeth
Teeth that are worn down
Teeth that are chipped or broken
Teeth that are misaligned, uneven, or irregularly shaped (for example, have craters or bulges in them)
Teeth with gaps between them (to close the space between these teeth)
What is an Emax porcelain veneer?
Emax Veneer is built as a thin layered veneer to be bonded to the front surface of the tooth for appearance and functional enhancement. It is made from Lithium Disilicate Glass Ceramicm which is extremely stronger than the Empress Veneer. Besides outstanding aesthetics with shade capacities, the Emax Veneer is also capable to be pressed as thin as 0.3 mm so that you do not need to lose much of your tooth layer for preparation. It is intellectually promising to deliver a more durable yet seamless and natural-looking smile.
We proudly present here the Emax Veneer Center, satisfying the international standards of cosmetic dentistry, to offer those who desire a Smile Makeover while having a holiday in Thailand. The center provides custom-made veneers corresponding to your request under supervision of our well-trained dental specialists. You can be assured about the quality control and on-time shipment from our international standard services.
What are the advantages of Emax veneers?
The excellent characters of Emax veneers are their thinness and their durability. These have made the Emax veneers outstanding among the traditional designs of veneers. Fabricated from specially treated ceramic, they can be cut very thin but still remain durable. The Emax withstand not only chipping but also discoloration; it is known to have stain-resistible surface. Moreover, the extra thin-width feature consequently makes it appear to be less bulky and more proportional to facial structure.
The thinner the veneer implies the less the preparation or drilling of the tooth and hence the stronger the bond between the tooth and veneer. This is the outcome of minimal tooth reshaping required for veneer preparation.
Cementation of Emax veneers to the enamel would have the best and strongest bond, compared to another conventional porcelain veneers. However, please not also that the treatment plan and longevity of veneers depend on each client's dental condition and occlusion.
In what situations can Emax veneers be used?
- to improve or desire the aesthetics in getting a white beautiful smile; in these cases, the top eight teeth in the aesthetic or smile zone (i.e. the teeth that are visible when smiling) are conventionally veneered.
- to repair crooked or misshaped teeth; if they are not badly aligned or have improper morphology, the looks can be instantly improved by Emax veneers. However the larger the misalignment the more tooth removal may be needed.
- to close the gap (diastema) between teeth or chipped teeth; Emax veneers are an ideal choice to close single or multiple spaces, where teeth are small with visible gap in between. They can also be used to correct and rectify the chipped teeth.
- to correct discoloured teeth; not only the shape and design of the teeth can be changed and improved by Emax veneers but also the color the teeth can be masked and covered.
Procedure for Emax veneers fit
Similar to any conventional veneers, the teeth, the facial profile and the occlusion of the teeth (the way teeth come together and more over each other) have to be clinically assessed. Based on this assessment, veneers are chosen from a list of appropriate designs. This is followed by modeling trial smiles incorporated with the chosen design and the model of teeth in wax. At this stage, if tooth removal/preparation is needed, there shall be an assessment and recommendation provided to you.
Once selection is done, a mould of your teeth will be taken and then sent away to our ceramists to build a set of veneers according to your exact specifications. When your veneers are ready, you can return to the clinic to have them permanently cemented in place, using very strong resin cements.