ASK OUR DENTIST
   
*Name :
*E-mail :
E-mail 2 :
*Tel :
Country :
Receive Newsletter
Question:
 
 
  To help us protect SPAM, please fill in the box above.and please use the number and the lowercase letters only.
 
   
ADDRESS
Smile Studio Bangkok Dental Clinic & Dental Lab. 30/8 Saladaeng Rd., Silom Bangkok
Case Gallery

Dental Veneer

Uneven Teeth and Unaesthetic Crowns

Miss. Fawn
B. K550507
Australia
Dr. Udsana Veneer, Zoom
Uneven Teeth and Unaesthetic Crowns


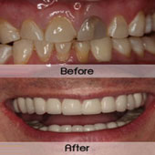
Gary Newman K550519
Australia
Dr. Udsana
Veneers, Root Canal, Crowns

Uneven Teeth and Unaesthetic Crowns
Improperly aligned and irregular shaped teeth. A shift left upper central incisor caused by the loss of the right central incisor.

Treatment:  - 7 porcelain veneers

Duration:
 3 visits in 7 dayss

Mr. Uli / Germany
Uneven Teeth and Unaesthetic Crowns
Irregular shaped teeth with gaps between teeth.

Treatment:  - 6 porcelain veneers

Duration:
 2 visits in 5 days

Miss Brigitte / UK
Uneven Teeth and Unaesthetic Crowns
Tetracycline stained teeth with dark band at the neck of each tooth.

Treatment:  - 16 porcelain veneers

Duration:
 3 visits in 8 days

Miss Chua / Hong Kong
Uneven Teeth and Unaesthetic Crowns
Big gap and misaligned teeth in upper.

Treatment:  - 6 porcelain veneers

Duration:
 3 visits in 7 days

Mr. Brandon / USA
Uneven Teeth and Unaesthetic Crowns
Tracey was very unhappy with the three unsightly crowns at the front of her mouth. She also felt her teeth were too short and she showed too much gum when she smiled. A gum lift was carried out to improve the gum levels. Porcelain veneers were used to improve the colour and the shape of the teeth.

Treatment:  - Laser tooth whitening
- Corrected with Gum Reshaping
- 8 Porcelain Veneers

Duration:
 1 appointment for cosmetic gum reshaping
2 appointments in 7 days for porcelain veneers

Customer Speak: "Thanks for a wonderful smile you're marvellous."
Tracey / London, UK

Spaced teeth

Sara had large gaps between her upper front teeth. Her main concern was that the teeth didn't look too large when closing the space.
Porcelain veneers and gum reshaping were used, to ensure that an even balanced smile was created. The veneers were matched to her natural tooth colour

Treatment:   - Gum Reshaping
- Porcelain Veneers

Duration:   
1 appointment for gum reshaping
2 appointments in 7 days for porcelain veneers.

Customer Speak: "I feel so much happier with my new smile."
Sara / Australia

Crowded Teeth and Gummy Smile

Smile changes like this can make a big ifference in a person's life.
Paul found that his increased self confidence helped in all aspects of his life.
Treatment:    Gum reshaping with veneers and crowns at upper teeth
Duration:   1 appointment for gum reshaping
2 appointments in 7 days for porcelain crowns and veneers

Customer Speak: "People are always commenting on my beautiful smile."
Paul / Los Angeles, USA
Poor old crown and unhealthy um

Angie had old crown on the top teeth nd her natural teeth were yellow.
Now, she has a new clean white smile.

Treatment:  - Gum Reshaping
- Laser tooth whitening
- Porcelain Veneers
- New All Porcelain Crown (Metal-Free)
- New tooth color filling at lateral tooth

Duration:  1 appointment for gum reshaping
1 appointment for laser tooth whitening
2 appointments for new porcelain crown and veneers
1 appointment for new tooth colored filling

Customer Speak: "Now I don't cover my mouth when smiling, thanks."
Angie / New Zealand

Irregular shape teeth

Elaine had chipped upper teeth that were also uneven. She was unhappy with the colour but was keen to keep a very natural look.
These photographs further illustrate the process of laminating teeth with a thin veneer of porcelain. The resulting cosmetics, function, and durability are superb.

Treatment: 10 porcelain veneers at upper teeth
Duration:   2 appointments in 10 days

Customer Speak:
'It's the best money I've ever spent, I should have done it years ago.'
Elaine / New York, USA

Dental Extreme Makeover

Dental Extreme Makeover
“Upper anterior teeth show numerous large defects. Crowns are the treatment of choice for this case to restore the beauty and function.”

Treatment:
 - 16 porcelain crowns.

Duration: 5 appointments in 12 days.

Mr. Peter / Australia

Dental Extreme Makeover

This is one of BSDC’s extreme makeovers. He presents with worn , dark teeth. He wants his teeth straightened and whitened. He also wants to improve his chewing ability.

Treatment:
 - 19 crowns and 4 porcelain veneers.

Duration: 4 appointments in 11 days.

Mr. Alan / Australia

Dental Extreme Makeover
This lady had always been unhappy with her smile, but was not interested in undergoing the surgery that she had been told was required.

Treatment:  - Laser tooth whitening
- Porcelain veneers

Duration: 3 appointments in 10 days

Customer Speak: “ My every expectation for a new smile was made possible here by the wonderful dentists and their desire to do the best work.”

Miss. Siriyagorn / Bangkok, Thailand

Dental Extreme Makeover
One of our more dramaticsmile makeovers! This type of dentistry is the most
challenging and rewarding at the same time.

Treatment:  - Laser tooth whitening
- Porcelain veneers
- Porcelain bridges

Duration:   5 appointments in 14 days

Customer Speak: “To Dr.Bob and all your wonderful staff, thank you very much for the professional , caring way you have treated me and for the great work done. Just fantastic!”

Mr.McAleenans / Australia

Dental Extreme Makeover
Another instant orthodontic example. Many people are just not willing to have braces, but would love a beautiful smile.

Treatment:  - Laser tooth whitening
- porcelain veneers and porcelain bridges

Duration:  4 appointments in 14 days

Customer Speak: “Thank you for all the work that has been done on my teeth. I'm very grateful and very appreciatiative for my new smile.”

Mr.Ronan / UK

Dental Extreme Makeover

Missing teeth can be replaced in a umber of ways using the latest materials and techniques to make the 'new' tooth look natural.

Treatment: - Full mouth rehabilitation with porcelain bridge

Duration:  4 appointments in 14 days

Customer Speak: “With my old plate, it was embarrassing and I was uncomfortable talking and eating with others. Now, it is very easy. No matter where I am or what I eat. Thank you for your excellent service”

Mrs.Dianne / Australia

Dental Extreme Makeover
The transformations achieved by Silom Dental using veneers , crowns and bridgework is there for you to see with various examples. As you will observe, our cosmetic dentist can produce dramatic results in straightforward as well difficult cases.

Treatment: Porcelain veneers and crowns at upper front teeth

Duration: - 4 appointments in 14 days

Customer Speak: I would like to thank the brilliant, very alented and beautiful Dr Sunisa, her great nurses and the fantastic, helpful and caring staff at Silom Dental. My praise and heartfelt thanks for the excellent work that you have done on my top teeth is very hard to put into words.  My friends and family are overwhelmed by not only the great work that you have performed, but also the small cost involved. Word of mouth is the very best form of advertising for any business, and I have been telling as many of the people that I know about the outstanding work you do at Silom Dental and hope that it will bring you many, many more new customers. I think that customers may be the wrong term to use as I see everyone there as a friend and look forward to returning in the near future to have

Again, thank you all very, very much for “MY NEW SMILE” from
Silom Dental.

Warmest Regards
Mr. James / USA

Dental Extreme Makeover

Poor old restorations and short and discolored teeth

Treatment:
 - 10 porcelain crowns.

Duration: 3 appointments in 6 days.

Miss Powell / USA

Dental Extreme Makeover

Patient with large defects and broken teeth. He desires cosmetic and function improvement in only 1 week.

Treatment:
 - 12 porcelain veneers and 6 porcelain crowns

Duration: 5 appointments in 10 days

Mr. Ray / USA

Dental Extreme Makeover

Name: Gary Newman
DN: K550519
Treatment: Veneers,Root Canal,Crowns
Branch: Sea Smile
Dentist: Dr.Udsana
Australia

Dental Extreme Makeover

Name: Kevin L.
DN: K551281
Branch: Sea Smile
Dentist: Dr.Udsana
Treatment: Filling,Crow,Root Canal,Cleaning